
Onze voeten dragen ons ons hele leven. Daar staan we normaal gesproken helemaal niet bij stil en zo hoort het ook. Anders wordt het als je last krijgt van voetklachten. Voordat ik aan de opleiding voor pedicure begon wist ik niet dat er zóveel aan voeten te zien was. Er ging een wereld voor me open!
Er bestaan vier basis voettypen. Een blauwdruk van jouw onderdanen door een pedicure, podoloog of podotherapeut onthult welk voettype je hebt. Dat wil echter niet zeggen dat elk basistype bij iedereen dezelfde afdruk laat zien, integendeel. De persoonlijke verschillen zijn enorm, één persoon kan zelfs per voet een verschillend voettype hebben.
Blauwdruk
Behalve het voettype vertelt een blauwdruk nog meer. Bijvoorbeeld of er sprake is van een standsafwijking, zoals een doorgezakte voorvoet. Dat is op een blauwdruk te zien als een donkerder gekleurde afdruk van de bal van de voet. Drukplekken op de voet geven eveneens een donkerdere afdruk. Vaak zie je daar dan eelt of een likdoorn. Eelt is in feite een natuurlijke bescherming tegen druk op je voet. En je hoeft er niet perse last van te hebben. Als je er wel last van hebt kan een behandeling bij een pedicure uitkomst bieden.
Ook tenen en nagels hebben we in alle soorten en maten, van gewone tenen tot hamertenen, klauwtenen en klauwnagels (zeer verdikte nagel die er uitziet als een ramshoorn en daarom ook wel ramshoornnagel genoemd wordt), ruitertenen, dwarsliggende kleine tenen en de hallux valgus (scheefgroei grote teen), verdikte nagels, tunnelnagels (tunnelvorm) en schimmelnagels . Kortom, elke voet, teen en nagel is uniek. Net zoals mensen dat zelf zijn.

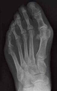
Oorzaken
Het ontstaan van standsafwijkingen en andere aandoeningen aan voeten, tenen en nagels kan verschillende oorzaken hebben. Ze kunnen gewoon aangeboren zijn, ontstaan door ziekten als reuma en diabetes of andere problemen elders in het lichaam, waardoor je, vaak ongemerkt, anders gaat lopen. Maar ook door het dragen van te nauwe schoenen, die niet goed bij de vorm van je voeten passen. Een voorbeeld is de hallux valgus, de scheefgroeiende grote teen (hallux betekent: grote teen). Door botwoekering in het middenvoetsbeentje dat direct vóór de grote teen ligt ontstaat een knobbel en gaat de grote teen scheef groeien. Het ontstaan van de botwoekering kan aangeboren zijn, maar ook veroorzaakt worden door het dragen van schoenen met een hoge hak, zoals pumps, waardoor het lichaamsgewicht op de voorvoet komt te liggen en de tenen bij elkaar worden geperst in de puntige neus van de schoen. Een hallux valgus komt vaker voor bij vrouwen dan bij mannen en kan flink pijn doen. Door de wrijving en irritatie op o.a. de grote teen reageert het lichaam met het aanmaken van extra bot, waardoor de knobbel ontstaat en de grote teen opzij wordt gedrukt. De andere teentjes komen vervolgens ook in de knel. Je ziet dan nog wel eens dat één van de kleine teentjes over de naastliggende kleine teen gaat liggen (ruiterteen). Door druk en wrijving op de tenen kunnen daar weer eelt en pijnlijke likdoorns ontstaan.
Waarmee wil ik overigens zeker niet wil zeggen dat je nooit en te nimmer schoenen met hoge hakken zou moeten dragen. Wel wil ik benadrukken hoe belangrijk goede schoenen zijn die bij de vorm en type van je voet passen. Ga bij voorkeur schoenen passen in de middag. Je voeten zwellen in de loop van de dag wat op. Zo voorkom je dat je schoenen koopt die ’s ochtends nog wel goed passen, maar ’s middags te nauw zitten. De veelgehoorde stelling dat je schoenen moet inlopen is echt een fabel. Schoenen moeten meteen goed passen en lekker zitten aan je voeten als je erop loopt. Wees maar lief voor ze. Je voeten zullen je dankbaar zijn.
Tekst: Karen Ubink